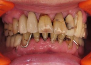
HOME > 歯科ブログ > 入れ歯 > ◎70代男性 入れ歯を支えていたグラグラの歯を抜いてから入れ歯を修理してしっかり装着できるようにした症例写真 > itosika_No17_after_004 itosika_No17_after_004 投稿日 2025年1月25日