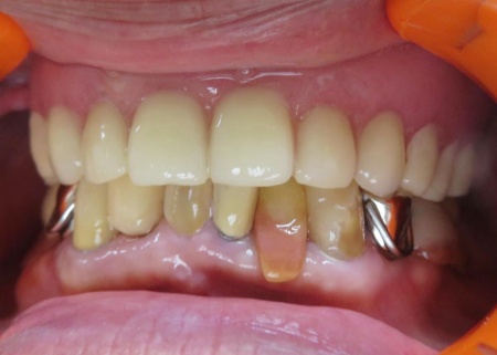
治療前
治療後
| ご相談内容 | 当院で入れ歯の修理経験がある患者さんより「入れ歯の金属バネが折れて、外れやすくなってしまった」とご相談いただきました。 |
|---|---|
| カウンセリング・診断結果 | 拝見したところ、左下の歯には部分入れ歯が装着されていましたが、入れ歯を支える金属バネ「クラスプ」が破損しており、入れ歯をしっかりと固定することができなくなっていました。 クラスプが折れた状態では入れ歯が安定せず、食事中などに外れやすくなります。 また、破損した入れ歯を使い続けると、入れ歯が歯茎にこすれて傷が付いたり、顎の関節や残っている歯に過度な負担がかかったりするリスクがあります。 以上のことから、折れたクラスプを作り直す必要があると診断しました。 |
| 行ったご提案・治療内容 | 今回は、破損していたクラスプを新しく作り直し、入れ歯を修理する方法を提案しました。 これまでも同様の修理を行っているため、患者さまも修理の流れをよく理解されています。 入れ歯を修理する場合は、入れ歯をお預かりして数日から1週間ほどお時間をいただくのが一般的ですが、当院では歯科医師が院内でクラスプを作製できるため、約1時間で修理をすることが可能です。 ただ長期的な使用状況によっては、再度調整や修理が必要になることもあります。 修理方法のメリットとデメリットをお伝えし、同意いただきました。 まずは入れ歯を装着した状態で型取りを行い、模型を作製します。 完成した模型に入れ歯を装着し、クラスプを固定する場所を削りました。 クラスプ用のワイヤーは手作業で曲げながら、残っている歯の形態や傾きに合わせて精密に調整します。 その後、完成したクラスプを入れ歯に取り付けたうえで装着していただき、実際にお口の中で安定性や装着感を確認しました。 最後に、噛み合わせや着脱のしやすさ、見た目に問題がないかなどを確認し、治療を終了しています。 |
| 治療回数の目安 | 1回 |
| 治療費総額の目安 | 約3,000円 (保険診療2割負担) |
| この治療のリスクについて | ・着脱式のため、食後の清掃が必要です ・最初のうちは異物感があり、慣れるまで時間がかかる場合があります ・慣れるまでは、入れ歯の裏側の粘膜に傷ができる場合があります |
治療前
治療中
クラスプを固定する場所を削りました
外側のクラスプの位置を確認しました
内側のクラスプの位置を確認しました
治療後

