治療前
治療後
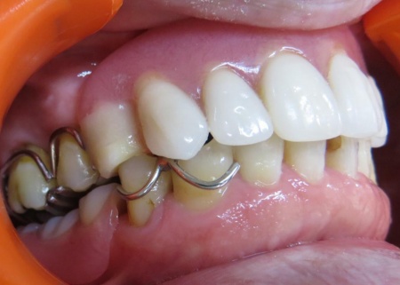
| ご相談内容 | 「入れ歯を固定するバネが折れて、パカパカと外れるようになってしまった」とご相談いただきました。 |
|---|---|
| カウンセリング・診断結果 | 拝見したところ、右上奥歯にかかっていた入れ歯を支える金属のバネ「クラスプ」が折れていました。 入れ歯自体に問題はありませんが、クラスプが破損しているため安定して使用することが困難です。 このまま放置すると、入れ歯が外れやすくなって食事や会話に支障をきたしたり、残っている歯に過度な負担がかかって歯を傷めたりするリスクがあります。 以上のことから、入れ歯を早めに修理する必要があると診断しました。 |
| 行ったご提案・治療内容 | 入れ歯自体に問題がなかったこと、4年前に今回とは違う部分のクラスプを修理していたことを考慮して、今回もクラスプを新しく作り直す修理方法を提案し、同意いただきました。 メリット ・入れ歯全体を作り直すより、費用と時間が抑えられる ・既存の入れ歯の使い心地をそのまま保てる デメリット ・修理を繰り返すと金属部分の強度が弱まり、将来的に新しい入れ歯の作製が必要になる場合がある まずは入れ歯を装着した状態で型取りを行い、石膏模型を作製します。 次に、模型上でワイヤーを曲げて新しいクラスプを作りました。歯にしっかりとかかり、取り外しがしやすいよう、クラスプの形状を調整します。 続いて作製したクラスプを入れ歯本体に取り付け、歯科用プラスチック(即時重合レジン)で固定します。 歯科用プラスチックが硬化したら余計な部分を削り、表面を滑らかに仕上げました。 最後に、入れ歯が安定して装着できているか、使用感に問題がないかを確認し、微調整を行って治療を終了しています。 |
| 治療回数の目安 | 1回 |
| 治療費総額の目安 | 約1,000円 (保険診療1割負担) |
| この治療のリスクについて | ・着脱式のため、食後の清掃が必要です ・最初のうちは異物感があり、慣れるまで時間がかかる場合があります ・慣れるまでは、入れ歯の裏側の粘膜に傷ができる場合があります |
治療前
治療中
治療後

