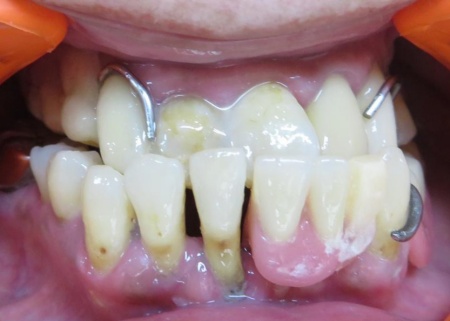
治療前
治療後
| ご相談内容 | 「入れ歯が割れてしまった」とご相談いただきました。 左下奥歯にかけるクラスプ(入れ歯を固定するための金属製の留め具)は、以前当院で修理を行っています。 |
|---|---|
| カウンセリング・診断結果 | 患者さんの噛み合わせは、下顎が上顎より前に出ている極端な反対咬合の状態でした。 反対咬合は入れ歯を安定させるのが難しく、噛む力が特定の部分に集中しやすいため、入れ歯の破損や変形が起こりやすいとされています。 また、残っている歯の一部には揺れがみられました。 これは、歯を支える骨(歯槽骨)が弱ってきており、歯が噛む力を十分に受け止められなくなっていることが原因です。 お持ちいただいた入れ歯は完全に割れていて、このまま使い続けるのは難しい状態でした。 ただこの段階で新しい入れ歯を作っても、ぐらついている歯が抜けてしまい、短い期間で修理や作り直しが必要になるリスクがあります。 以上のことから、まずは現在の入れ歯を修理して使えるようにしたのち、揺れている歯が自然に抜けて口腔内が落ち着くのを待ったうえで、新しい入れ歯を作製するのが適切だと診断しました。 |
| 行ったご提案・治療内容 | 診断内容をお伝えしたうえで、割れた入れ歯の修理を提案しました。 患者さんはこれまでにも同様の治療を経験されており、治療方針については十分にご理解とご納得いただいています。 まず、技工用の瞬間接着剤で割れた入れ歯を仮止めします。 これは、次の工程で正確な模型を作るための準備です。 次に、仮止めした入れ歯をお口の中に戻して型取りを行い、石こうを用いて模型を作製しました。 模型上で修理を行うことで、口の中でしっかりと合う入れ歯に仕上げることができます。 続いて、割れた部分に対して垂直に交わる向きに金属製の補強線(ワイヤー)を埋め込みました。 補強線をいれることで入れ歯のプラスチック部分にかかる力を吸収・分散できるため、割れにくい構造になります。 最後に、補強後の入れ歯を丁寧に研磨して仕上げを行い、見た目や装着感、噛み合わせに問題がないことを確認して、治療を終了しました。 |
| 治療回数の目安 | 1回 |
| 治療費総額の目安 | 約3,000円 (保険診療3割負担) |
| この治療のリスクについて | ・着脱式のため、食後の清掃が必要です ・最初のうちは異物感があり、慣れるまで時間がかかる場合があります ・慣れるまでは、入れ歯の裏側の粘膜に傷ができる場合があります |
治療前
治療中
技工用の瞬間接着剤で仮止めします。
石こうで模型を作製しました。
補強線をいれるための溝を作ります。
補強線を入れました。
治療後

