治療前
治療後
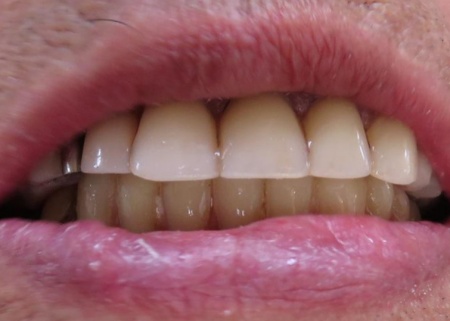
| ご相談内容 | 「前回の受診から3ヶ月ほど経ったので、入れ歯の調整をしたい」と来院いただきました。 介助者の方と一緒に来院される患者さんで、当院で製作した上下の総入れ歯を10年以上、定期的に調整しながら使用されています。 |
|---|---|
| カウンセリング・診断結果 | 拝見したところ、上の入れ歯の奥歯部分が経年劣化ですり減り、左右とも噛み合う面が平たくなっていました。 そのため、全体的に噛み合わせが低くなっています。 現時点では食事や生活に大きな不自由はないとのことでしたが、このまま放置するとさらにすり減りが進行し、噛みにくくなったり入れ歯が動いて歯茎に痛みが出たりするおそれがあります。 以上のことから、入れ歯を調整する必要があると診断しました。 |
| 行ったご提案・治療内容 | 治療の方針として、以下2つを提案しました。 ①入れ歯のすり減った部分を修理して補う方法 メリット:即日で修理が終了する デメリット:新しく入れ歯を作った場合と比べると、フィット感がやや劣る ②新しい総入れ歯の作製 メリット:現在の口腔状態に合わせて作製するため、よりよいフィット感が期待できる デメリット:複数回の通院が必要で、入れ歯の完成まで時間がかかる 患者さんの年齢や通院のご負担を考えると、①の修理による対応が適していること、また患者さんは今まで同じような修理を行ってきた経緯があり、現在の入れ歯の状態や今後必要となる処置について改めてお伝えしたところ、修理による治療に同意いただきました。 まず、すり減って低くなっていた奥歯部分に歯科用プラスチックを盛り足します。 使用した歯科用プラスチックは粉と液を混ぜると固まる性質があり、固まる前にお口に入れて噛んでいただくことで、適切な噛み合わせの高さに調整することが可能です。 続いて、噛んだときに上下前歯が強く当たりすぎていないかという点も確認します。 前歯に強い負担がかかると入れ歯が外れる原因になるため、必要な部分を少しずつ削りながら、自然で無理のない噛み合わせになるよう整えました。 最後に全体のバランスをチェックして問題がないことを確認し、修理を終えた入れ歯をお渡しして、治療を終了しています。 |
| 治療回数の目安 | 1回 |
| 治療費総額の目安 | 約1,000円(保険診療1割負担) |
| この治療のリスクについて | ・着脱式のため、食後の清掃が必要です ・最初のうちは異物感があり、慣れるまで時間がかかる場合があります ・慣れるまでは、入れ歯の裏側の粘膜に傷ができる場合があります |
治療前
治療中
治療後

