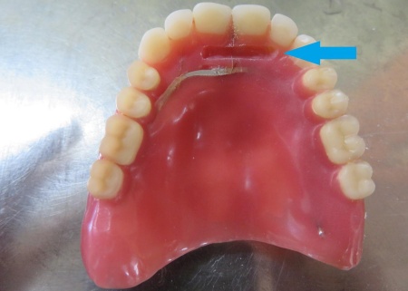
治療前
治療後
| ご相談内容 | 「ナッツを食べたら、入れ歯にヒビが入ってしまった」とご相談いただきました。 お持ちいただいた入れ歯は、患者さんが10年以上使用されているものです。 |
|---|---|
| カウンセリング・診断結果 | 拝見したところ、入れ歯にヒビが入っていることが確認できました。 これまでは不自由なく使用していたとのことで、詳しく検査したところ、歯茎へのなじみや噛み合わせに大きな問題は見られません。 この入れ歯は患者さんが長年使用されており、装着感や使い心地に慣れているとのことでしたが、ヒビが入った状態を放置すると、使用中にヒビが広がったり突然割れて使用できなくなったりするおそれがあります。 以上のことから、新しく作り直すのではなく、既存の入れ歯を修理する必要があると診断しました。 |
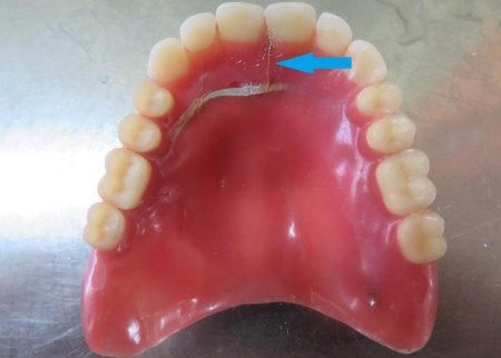
| 行ったご提案・治療内容 | 入れ歯の修理方法として、ヒビが入った部分に金属のワイヤー「補強線」を埋め込む方法を提案し、同意いただきました。 補強線を埋め込むことでヒビが入った部分の強度を高め、再び割れにくくすることができます。 また、午前中に入れ歯をお預かりして修理すれば午後にはお渡しできることと、保険診療で対応可能であることもお伝えしました。 まず、修理作業中に入れ歯が変形したり破損したりしないよう、模型を作る際に使用する材料「石膏」で入れ歯をしっかりと固定します。 次に、ヒビの向きに対して横切るような方向に補強線を配置しました。 これにより、噛む力が加わった際にヒビが広がりにくくなる効果が期待できます。 その後、歯科用プラスチック「レジン」を用いて補強線を丁寧に埋め込み、強度と形態のバランスに配慮しながら慎重に修理を進めました。 入れ歯の修理が完了したら装着していただき、見た目や噛み合わせに問題がないことを確認します。 最後に、今後繰り返し破損が起こる場合は、噛み合わせや歯茎との適合状態を改めて詳しく検査する必要があることをお伝えし、治療を終了しました。 |
| 治療回数の目安 | 1回 |
| 治療費総額の目安 | 約2,000円 (保険診療2割負担) |
| この治療のリスクについて | ・着脱式のため、食後の清掃が必要です ・最初のうちは異物感があり、慣れるまで時間がかかる場合があります ・慣れるまでは、入れ歯の裏側の粘膜に傷ができる場合があります |
治療前
治療中
治療後

