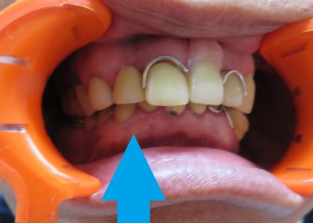
治療前
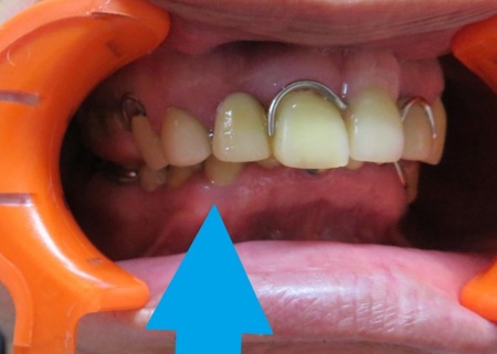
治療後
| ご相談内容 | 「噛むと前歯がぶつかるようになった」とご相談いただきました。 |
|---|---|
| カウンセリング・診断結果 | 拝見したところ、右上奥歯と左下奥歯に部分入れ歯が装着されていましたが、人工歯がすり減り、奥歯の噛み合わせが低くなっています。この影響で、噛んだときに上下の前歯が強く当たっていました。 これまでも、半年から1年ほど経過すると人工歯が徐々にすり減り、その都度噛み合わせの調整や修理を繰り返しています。 患者さんはもともと噛み合わせが深く、上の前歯が下の前歯を大きく覆う状態だったことから、入れ歯の高さが少し変わるだけでも前歯への負担が大きくなりやすいと考えられます。 このまま放置すると、食事がしにくくなったり、前歯に過度な力がかかり続けて痛みや歯の揺れが生じたりするリスクがあるため、入れ歯の噛み合わせを改善する必要があると診断しました。 |
| 行ったご提案・治療内容 | 治療方法として、以下2つを提案しました。 ①部分入れ歯を新しく作り直す メリット:入れ歯全体を新しく設計するため、現在の口腔状態に合わせて作ることができる デメリット:型取りなどの工程が必要になり、通院回数や費用の負担が大きい ②現在使用している入れ歯を修理する メリット:既存の入れ歯を使い続けることができる。治療期間や費用を比較的抑えることができる デメリット:入れ歯の形が一部変わるため、使い始めは違和感を覚えるおそれがある 患者さんは、今まで複数回入れ歯の修理を行ってきており、また現在の入れ歯の状態から見ても修理で対応可能な旨をお伝えし、②の修理による調整に同意いただきました。 まず、右上奥歯と左下奥歯に装着されている部分入れ歯の奥歯部分に、噛み合わせを確認するためのやわらかいロウの材料「歯科用ワックス」を仮固定し、その状態で実際に噛んでいただきます。 この工程で奥歯の高さを約1.5mm高く設定し、前歯が強くぶつからないように調整しました。 ワックスはあくまで一時的な材料で、噛み合わせの位置を記録するために使用しています。 噛み合わせの位置を確認したあとは、ワックスを片側ずつ外し、白いプラスチックの材料へと置き換えました。 この材料は入れ歯の人工歯と似た性質をもっており、しっかり固まると日常的に使用することができます。 最後に、噛み合わせや使用感をしっかりと確認し、治療を終了しました。 |
| 治療回数の目安 | 1回 |
| 治療費総額の目安 | 約2,000円 (保険治療2割負担) |
| この治療のリスクについて | ・着脱式のため、食後の清掃が必要です ・最初のうちは異物感があり、慣れるまで時間がかかる場合があります ・慣れるまでは、入れ歯の裏側の粘膜に傷ができる場合があります |
治療前
治療中
治療後

