カテゴリー

・70代男性 歯が折れて使えなくなった入れ歯を修理して再び使えるようにした症例

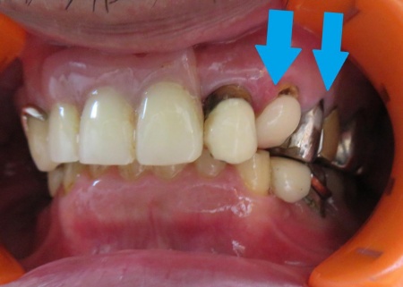
治療前

治療前画像

治療後

治療後画像
ご相談内容 「歯が折れて、入れ歯がうまく使えなくなってしまった」とご相談いただきました。
カウンセリング・診断結果 拝見したところ、左上の歯が折れて歯根だけが残っている状態でした。
これが原因で、入れ歯を固定する金属のバネ「クラスプ」をかける歯の土台が失われ、入れ歯が安定しなくなっています。

このまま放置すると入れ歯が使用できないだけでなく、噛み合わせのバランスが崩れたり、ほかの歯に過度な負担がかかったりするおそれがあります。

以上のことから、入れ歯の修理を行う必要があると診断しました。
行ったご提案・治療内容 患者さんは1年前にクラスプの修理をされており、歯が折れるまでは問題なく使用していました。
そのため、入れ歯の作り直しではなく、以下2つを併用した修理の提案を行い、同意いただきました。

①増歯:入れ歯にプラスチック製の人工歯を加え、折れた歯を補う処置
②新たなクラスプの製作:入れ歯の安定を図るため、左上の前歯から4番目の歯にかけるバネを追加する

この方法では既存の入れ歯を修理するため、今後も使い慣れた入れ歯を使用し続けることができます。また、どちらの治療も保険適用である点もメリットです。
ただ、長期的な使用状況によっては、再度調整や修理が必要になることがあります。

通常、入れ歯の修理は歯科技工所へ依頼するため、入れ歯をお預かりしてから1週間ほどかかります。しかし、当院では歯科医師がその場で修理するため、1時間程度で入れ歯をお渡しすることが可能です。

まず、現在使用している入れ歯をお口に装着した状態で、歯や顎の形を型取り材で写し取る印象採得を行います。
その後、出来上がった型をもとに石こう模型を製作しました。

次に、模型上で人工歯を追加する処置を行います。
折れた部分に合う人工歯を慎重に選び、入れ歯に丁寧に取り付けました。

続いて、左上の前から4番目の歯に合わせて金属ワイヤーを成形し、新しいクラスプを作製します。
歯の形にぴったり沿うよう細かく調整し、入れ歯をしっかり支えられる強さに仕上げました。

最後に入れ歯を装着し、痛みや違和感がないか、見た目や噛み合わせに問題がないかを確認し、治療を終了しています。
治療回数の目安 1回
治療費総額の目安 約1,500円
(保険診療1割負担)
この治療のリスクについて ・着脱式のため、食後の清掃が必要です
・最初のうちは異物感があり、慣れるまで時間がかかる場合があります
・慣れるまでは、入れ歯の裏側の粘膜に傷ができる場合があります

治療前

治療前画像 治療前画像

治療中

治療中画像 治療中画像 治療中画像 治療中画像

1年前にクラスプの修理をした際の画像です。

治療後

治療後画像 治療後画像 治療後画像 治療後画像