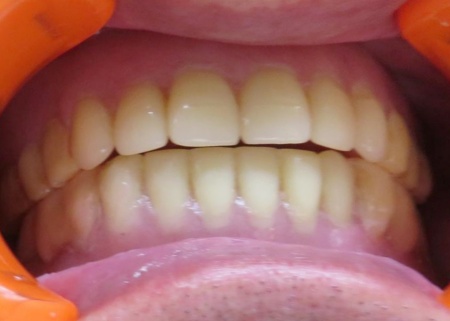
治療前

治療後

ご相談内容 | 「また入れ歯が割れてしまった」とご相談いただきました。 |
---|---|
カウンセリング・診断結果 | 拝見したところ、上顎には入れ歯が装着されていましたが、左上前歯から上顎を覆う部分にかけて完全に割れてしまっていました。半年前にも入れ歯を修理しましたが、そのときとは異なる部分の破損です。 入れ歯は毎日の食事で噛む力を受けるため、長期間の使用で負担がかかり、弱い部分から割れてしまうことがあります。 このまま放置すると、入れ歯が正しく装着できずに審美性に悪影響を与えたり、しっかり噛めないことで発音に支障をきたしたりするおそれがあります。 以上のことから、早急に入れ歯を修理する必要があると診断しました。 |
行ったご提案・治療内容 | 入れ歯の修理として、前回と同様に金属線で補強する方法を提案しました。 メリット ・短時間(約1時間)で費用を抑えながら入れ歯を直せる ・新しく作り直す必要がないため、慣れ親しんだ入れ歯をそのまま使い続けられる デメリット ・修理部分は元の強度に比べてやや劣り、将来的にほかの部分が割れるリスクがある メリットとデメリットをお伝えし、治療に同意いただきました。 まず、作業中破片がバラバラになることを防ぐために、割れた部分を歯科専用の瞬間接着剤で仮固定します。 続いて、石膏(歯型の模型作製に使用する材料)を注ぎ、入れ歯を模型上に固定しました。これにより、入れ歯本来の形状を維持しながら、安定した状態で修理作業を進めることが可能です。 次に、同じ部位が再破損するリスクを軽減して入れ歯の耐久性を向上させるため、模型上で補強用の金属線を慎重に作製して埋め込む修理を行いました。 また修理部位の強度を確保するため、金属線の配置や埋め込みの深さにも十分配慮しています。 修理が終わった入れ歯を装着していただき、使用感や噛み合わせに問題がないことを確認して治療を終了しました。 |
治療回数の目安 | 1回 |
治療費総額の目安 | 約3,000円 (保険診療3割負担) |
この治療のリスクについて | ・着脱式のため、食後の清掃が必要です ・最初のうちは異物感があり、慣れるまで時間がかかる場合があります ・慣れるまでは、入れ歯の裏側の粘膜に傷ができる場合があります |
治療前



治療中

模型上に入れ歯を固定します。


補強線の位置を確認します。

補強線を埋め込みます。
治療後

